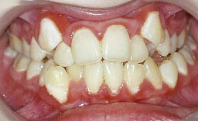
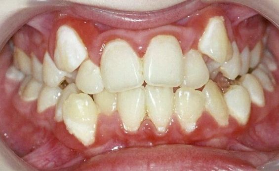
Το σύστημα FASTBRACES® προσφέρει στους ασθενείς ίσια δόντια περίπου σε ένα χρόνο, χωρίς εξαγωγές στις περισσότερες περιπτώσεις ,χρησιμοποιώντας την τεχνολογία , ώστε να μειωθεί το συνολικό κόστος της θεραπείας .Τα άγκιστρα( σιδεράκια) που χρησιμοποιούνται στο
εν λόγω ορθοδοντικό σύστημα (ΑΓΚΙΣΤΡΑ VIAZI®) έχουν την ιδιότητα να μετακινούν ταυτόχρονα τη ρίζα και τη μύλη των δοντιών από την αρχή της θεραπείας σε ένα στάδιο. Μικρότερος χρόνος θεραπείας σημαίνει λιγότερες επισκέψεις στον οδοντίατρο και επομένως χαμηλότερο κόστος ορθοδοντικής θεραπείας. Εφευρέτης του εν λόγω συστήματος και ιδρυτής της γνωστής αλυσίδας ορθοδοντικών κλινικών FASTBRACES® στις Η.Π.Α. , είναι ο Dr. Anthony D. Viazis, πρώην αναπληρωτής καθηγητής του πανεπιστημίου της Νοτίου Καλιφόρνιας και πρώην επίκουρος καθηγητής των πανεπιστημίων της Μινεσότα και του Βaylor στο Ντάλας με πλήθος σεμιναρίων και παρουσιάσεων στις Η.Π.Α. , στην Ευρώπη και στην Νότια Αμερική. Το συγκεκριμένο ορθοδοντικό σύστημα έχει διάφορα κλινικά χαρακτηριστικά (μικρότερη δύναμη τριβής μεταξύ αγκίστρου και σύρματος, λιγότερη ευαισθησία, λιγότερο πόνο κ.α.), όπως έχουν δείξει ανεξάρτητες πανεπιστημιακές έρευνες ανά τον κόσμο, ενώ έχει βοηθήσει τα τελευταία 17 χρόνια, χιλιάδες ασθενείς στις Η.Π.Α. και σε ολόκληρο τον κόσμο να αποκτήσουν ένα όμορφο χαμόγελο γρήγορα και αποτελεσματικά.
http://youtu.be/kgN6BAhfkek
εν λόγω ορθοδοντικό σύστημα (ΑΓΚΙΣΤΡΑ VIAZI®) έχουν την ιδιότητα να μετακινούν ταυτόχρονα τη ρίζα και τη μύλη των δοντιών από την αρχή της θεραπείας σε ένα στάδιο. Μικρότερος χρόνος θεραπείας σημαίνει λιγότερες επισκέψεις στον οδοντίατρο και επομένως χαμηλότερο κόστος ορθοδοντικής θεραπείας. Εφευρέτης του εν λόγω συστήματος και ιδρυτής της γνωστής αλυσίδας ορθοδοντικών κλινικών FASTBRACES® στις Η.Π.Α. , είναι ο Dr. Anthony D. Viazis, πρώην αναπληρωτής καθηγητής του πανεπιστημίου της Νοτίου Καλιφόρνιας και πρώην επίκουρος καθηγητής των πανεπιστημίων της Μινεσότα και του Βaylor στο Ντάλας με πλήθος σεμιναρίων και παρουσιάσεων στις Η.Π.Α. , στην Ευρώπη και στην Νότια Αμερική. Το συγκεκριμένο ορθοδοντικό σύστημα έχει διάφορα κλινικά χαρακτηριστικά (μικρότερη δύναμη τριβής μεταξύ αγκίστρου και σύρματος, λιγότερη ευαισθησία, λιγότερο πόνο κ.α.), όπως έχουν δείξει ανεξάρτητες πανεπιστημιακές έρευνες ανά τον κόσμο, ενώ έχει βοηθήσει τα τελευταία 17 χρόνια, χιλιάδες ασθενείς στις Η.Π.Α. και σε ολόκληρο τον κόσμο να αποκτήσουν ένα όμορφο χαμόγελο γρήγορα και αποτελεσματικά.
http://youtu.be/kgN6BAhfkek
0 Σχόλια