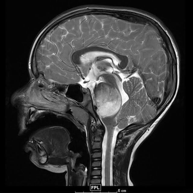
Σε ηλικία 6 ετών, ο Λούκας, ένα αγόρι από το Βέλγιο, διαγνώστηκε με έναν ιδιαίτερα επιθετικό όγκο στον εγκέφαλο και συγκεκριμένα με εγγενές γλοίωμα γέφυρας εγκεφάλου (DIPG), έναν σπάνιο και επιθετικό τύπο εγκεφαλικού όγκου σε παιδιά, που επηρεάζει μέρος του εγκεφαλικού στελέχους. Πρόκειται για έναν θανατηφόρο καρκίνο του εγκεφάλουπου συχνά σκοτώνει μέσα σε ένα χρόνο μετά τη διάγνωση. Η χειρουργική επέμβαση είναι σχεδόν αδύνατη λόγω της θέσης των όγκων. Η ακτινοθεραπεία μπορεί μερικές φορές να επιβραδύνει την ταχεία πορεία του επιθετικού όγκου, αλλά κανένα φάρμακο δεν έχει αποδειχθεί αποτελεσματικό εναντίον του.
Ωστόσο, επτά χρόνια αργότερα, ο Λούκας είναι υγιής και ο όγκος του έχει εξαφανιστεί.
«Ο Λούκας νίκησε όλες τις πιθανότητες και επιβίωσε», δήλωσε ο γιατρός του, Ζακ Γκριλ, ο οποίος είναι επικεφαλής του προγράμματος για τους όγκους του εγκεφάλου στο αντικαρκινικό κέντρο Gustave Roussy στο Παρίσι.
Μοναδική περίπτωση
Ο Λούκας ταξίδεψε στη Γαλλία με την οικογένειά του για να συμμετάσχει στη BIOMEDE, μια κλινική δοκιμή για πιθανά νέα φάρμακα για την DIPG. Οι ερευνητές διαπίστωσαν ότι ο οργανισμός του Λούκας ανταποκρίθηκε αμέσως στο αντικαρκινικό φάρμακο everolimus.
«Κατά τη διάρκεια μιας σειράς μαγνητικών τομογραφιών, είδα τον όγκο να εξαφανίζεται εντελώς», δήλωσε ο Γκριλ στο AFP.
«Δεν γνωρίζω καμία άλλη περίπτωση σαν αυτή στον κόσμο», δήλωσε ο Γκριλ.
Επτά άλλα παιδιά που συμμετείχαν στη δοκιμή επέζησαν χρόνια μετά τη διάγνωση, αλλά μόνο ο όγκος του Λούκας εξαφανίστηκε εντελώς. Ο λόγος για τον οποίο αυτά τα παιδιά ανταποκρίθηκαν στα φάρμακα, ενώ άλλα όχι, πιθανόν να οφείλεται στις «βιολογικές ιδιαιτερότητες» των όγκων τους, εξήγησε ο ερευνητής.
«Ο όγκος του Λούκας έφερε μια εξαιρετικά σπάνια μετάλλαξη που πιστεύουμε ότι έκανε τα κύτταρά του πολύ πιο ευαίσθητα στο φάρμακο», πρόσθεσε.
Οι ερευνητές μελετούν τις γενετικές ανωμαλίες των όγκων των ασθενών καθώς και τη δημιουργία «οργανοειδών» – μάζες κυττάρων που αναπτύσσονται στο εργαστήριο.
«Η περίπτωση του Λούκας προσφέρει πραγματική ελπίδα», δήλωσε η Μαρί-Αν Ντέμπιλι, ερευνήτρια που επιβλέπει τις εργαστηριακές εργασίες.
«Θα προσπαθήσουμε να αναπαράγουμε in vitro τις διαφορές που εντοπίσαμε στα κύτταρά του», δήλωσε η ερευνήτρια στο AFP.
Η ομάδα θέλει να αναπαράγει τις γενετικές διαφορές του στα οργανοειδή για να δει αν ο όγκος μπορεί στη συνέχεια να εξοντωθεί τόσο αποτελεσματικά όσο και στον Λούκας. Αν αυτό πετύχει, «το επόμενο βήμα θα είναι να βρεθεί ένα φάρμακο που θα έχει την ίδια επίδραση στα καρκινικά κύτταρα με αυτές τις κυτταρικές αλλαγές», εξήγησε η Ντέμπιλι.
Ενώ οι ερευνητές είναι ενθουσιασμένοι με αυτό το νέο, προειδοποίησαν ότι οποιαδήποτε πιθανή θεραπεία είναι ακόμη πολύ μακριά.
«Κατά μέσο όρο, χρειάζονται 10-15 χρόνια για να αναπτυχθεί ένα φάρμακο – μια μακρά και χρονοβόρα διαδικασία», είπε ο Γκριλ.
Ο Ντέιβιντ Ζίγκλερ, παιδιατρικός ογκολόγος στο Νοσοκομείο Παίδων του Σίδνεϊ στην Αυστραλία, εκτιμά ότι τα δεδομένα για την DIPG έχουν αλλάξει δραματικά την τελευταία δεκαετία.
«Οι ανακαλύψεις στο εργαστήριο, η αυξημένη χρηματοδότηση και κλινικές δοκιμές όπως η BIOMEDE με κάνουν να πιστεύω ότι σύντομα θα είμαστε σε θέση να θεραπεύσουμε ορισμένους ασθενείς», δήλωσε στο AFP.
Το DIPG, ή διάχυτο εγγενές γλοιώδες πόντιο , είναι ένας τύπος όγκου εγκεφάλου που εντοπίζεται σε μια περιοχή του εγκεφαλικού στελέχους γνωστή ως γέφυρα. Το όνομα διάχυτο εγγενές γλοιώδες ποντιακό περιγράφει πώς αναπτύσσεται ο όγκος, πού εντοπίζεται και ποια είδη κυττάρων προκαλούν τον όγκο.
Διαχέω
Διάχυτος σημαίνει ότι ο όγκος δεν είναι καλά συγκρατημένος - αναπτύσσεται σε άλλους ιστούς, έτσι ώστε τα καρκινικά κύτταρα να αναμιγνύονται με υγιή κύτταρα.
Εσωτερικός
Intrinsic σημαίνει απλώς «μέσα», αναφερόμενος στο σημείο ή την προέλευση.
Ποντίνος
Το Pontine δείχνει ότι ο όγκος βρίσκεται σε ένα τμήμα του εγκεφαλικού στελέχους που ονομάζεται γέφυρα . Η γέφυρα είναι υπεύθυνη για μια σειρά από σημαντικές σωματικές λειτουργίες, όπως η αναπνοή, ο ύπνος, ο έλεγχος της ουροδόχου κύστης και η ισορροπία.
Γλοιώματος
Το γλοίωμα είναι ένας γενικός όρος για όγκους που προέρχονται από νευρογλοιακά κύτταρα. Τα νευρογλοιακά κύτταρα βρίσκονται σε όλο τον εγκέφαλο. Αποτελούν τη λευκή ουσία του εγκεφάλου που περιβάλλει και υποστηρίζει τους νευρώνες (οι νευρώνες είναι κύτταρα που μεταφέρουν μηνύματα στον εγκέφαλο).
Πρόσφατα διαγνώστηκε με DIPG ή DMG;
Ενώ η διάγνωση του DIPG ή του DMG είναι δύσκολη, υπάρχουν βήματα που μπορείτε να ακολουθήσετε για να βελτιώσετε την ποιότητα της φροντίδας για το παιδί σας. Επιτρέψτε μας να σας καθοδηγήσουμε στα βήματα για το τι πρέπει να κάνετε μετά τη διάγνωση.



0 Σχόλια