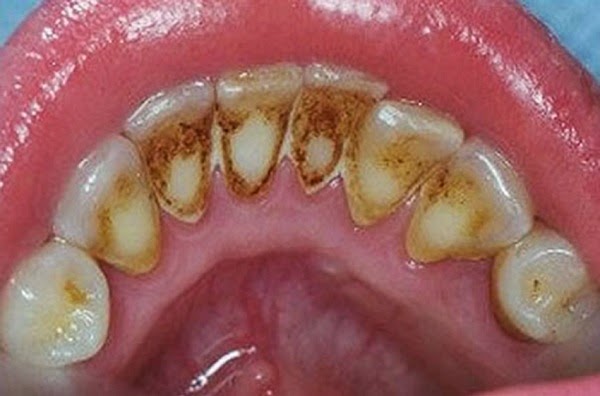
Όλοι γνωρίζουμε ότι, όταν πρόκειται για την αφαίρεση της πλάκας, ο οδοντίατρος θα κάνει τη δουλειά τέλεια.
Ωστόσο, υπάρχουν πολλές φυσικές συνταγές μέσω των οποίων μπορείτε να απαλλαγείτε από την πλάκα στο σπίτι....:
1 η συνταγή:
Συστατικά που απαιτούνται:
30 γραμμάρια κέλυφος καρυδιού
Νερό
Τρόπος παρασκευής:
Βάλτε το κέλυφος καρυδιού σε ένα μπολ, προσθέστε νερό και τοποθετήστε το μείγμα στην φωτιά.
Μαγειρεύετε για 15 λεπτά.
Μουλιάζετε την οδοντόβουρτσά σας στο προκύπτον μείγμα και πλένετε τα δόντια σας για 5 λεπτά.
Επαναλαμβάνετε αυτή τη διαδικασία πρωί, απόγευμα και βράδυ.
2 η συνταγή:
Συστατικά που απαιτούνται:
4 κουταλιές της σούπας ηλιόσποροι
4 κουταλιές της σούπας φλαμουριά
1 λίτρο νερού
Τρόπος παρασκευής:
Βάζουμε τα υλικά σε ένα μπολ, τα σκεπάζουμε με νερό και τοποθετούμε το μπολ που χρησιμοποιούμε σε χαμηλή φωτιά.
Μαγειρεύουμε το μείγμα για μισή ώρα.
Πλένουμε τα δόντια μας με το μείγμα που προκύπτει μετά από κάθε γεύμα.
3 η συνταγή:
Το μηλόξιδο μπορεί επίσης να χρησιμοποιηθεί για την αφαίρεση της πλάκας, αλλά μόνο μία φορά την εβδομάδα.
Μουλιάζετε την οδοντόβουρτσά σας σε μηλόξιδο και πλένετε τα δόντια σας.
Ξεπλένετε καλά τη στοματική σας κοιλότητα με νερό προκειμένου να μην βλάψετε το σμάλτο των δοντιών σας.
- ΑΡΧΙΚΗ
- ΕΝΗΜΕΡΩΣΗ
- _Η ΔΙΑΔΡΟΜΗ
- _ΥΓΕΙΑ
- _ΑΝΑΠΗΡΙΑ
- _ΚΟΣΜΟΣ
- _ΕΛΛΑΔΑ
- _ΝΕΑ
- _ΤΕΧΝΟΛΟΓΙΑ ΚΑΙ ΑΙ
- LIFESTYLE
- _ΣΟΟΥ ΜΠΙΖ
- _SHOWBIZ
- _VIDEO
- _ΜΟΔΑ
- _ΟΜΟΡΦΙΑ
- _ΕΙΚΑΣΤΙΚΑ
- _ΖΩΔΙΑ
- ΘΕΜΑΤΑ
- _ΑΘΛΗΤΙΚΑ
- _ΔΙΑΦΟΡΑ
- _HUMOR
- _ΦΩΤΟΓΡΑΦΙΑ
- _ΜΑΓΕΙΡΙΚΗ
- _ΠΑΡΑΞΕΝΑ
- _ΓΙΟΡΤΕΣ
- Ο ΣΥΛΛΟΓΟΣ
- ΑΡΧΕΙΑ
- _ΧΡΗΣΙΜΟΙ ΣΥΝΔΕΣΜΟΙ
- ΕΠΙΚΟΙΝΩΝΙΑ
- _FACEBOOK
- _TWITTER
- _YOUTUBE

0 Σχόλια